Российские ученые изучили различия в объеме поражений мозга после инсульта у детей разного возраста

Команда российских ученых и медиков при участии Софьи Куликовой из НИУ ВШЭ в Перми сравнила объем и характер поражений мозга у детей, перенесших инсульт в первые четыре недели жизни и в возрасте до двух лет. Выяснилось, что чем младше ребенок, тем обширнее зоны поражения мозга, особенно в лобных и теменных долях, отвечающих за движение, речь и мышление. Исследование, опубликованное в журнале Neuroscience and Behavioral Physiology, помогает понять, как возраст влияет на характер и масштаб поражений, и закладывает основу для разработки персонализированных программ реабилитации после инсульта в раннем детстве.
Инсульт — это острое нарушение кровотока в мозге: либо сосуд перекрывается тромбом/эмболом (ишемический инсульт), либо сосуд разрывается, и происходит кровоизлияние (геморрагический инсульт). Детский инсульт имеет специфику, поскольку мозг ребенка постоянно растет и изменяется. Несмотря на то что механизм развития инсульта у детей и взрослых одинаковый (разрыв сосуда, его тромбоз), природа патологии различается. У взрослых это происходит либо из-за эмболов — тромбов, сгустков крови, которые застревают в сосуде и перекрывают кровоток, либо из-за атеросклероза, когда холестерин оседает на стенках сосуда и закупоривает его. Ни того ни другого у детей нет.
Софья Куликова
«Чаще всего детские инсульты встречаются у малышей с пороками сердца, даже у тех, кого прооперировали. Это связано с тем, что сердечно-сосудистая система у таких детей работает неправильно. Причем для некоторых перинатальных инсультов мы даже не можем определить, когда именно они случились: в момент появления на свет, сразу после или до рождения», — объясняет одна из авторов статьи, заведующая Центром когнитивных нейронаук НИУ ВШЭ в Перми Софья Куликова.
Большой размер поражения всегда связывают с плохим прогнозом, но неизвестно, справедливо ли это для детей, чей мозг обладает чрезвычайной пластичностью. Чтобы ответить на этот вопрос, ученые из нескольких российских университетов и медицинских учреждений (НИУ ВШЭ, УрФУ, МГУ, Института эволюционной физиологии и биохимии имени И.М. Сеченова РАН, УГМУ, Сколковского института науки и технологий, а также Детской городской клинической больницы №9 и Областной детской клинической больницы Екатеринбурга) сравнили объем поражений мозга при инсульте у малышей разного возраста.
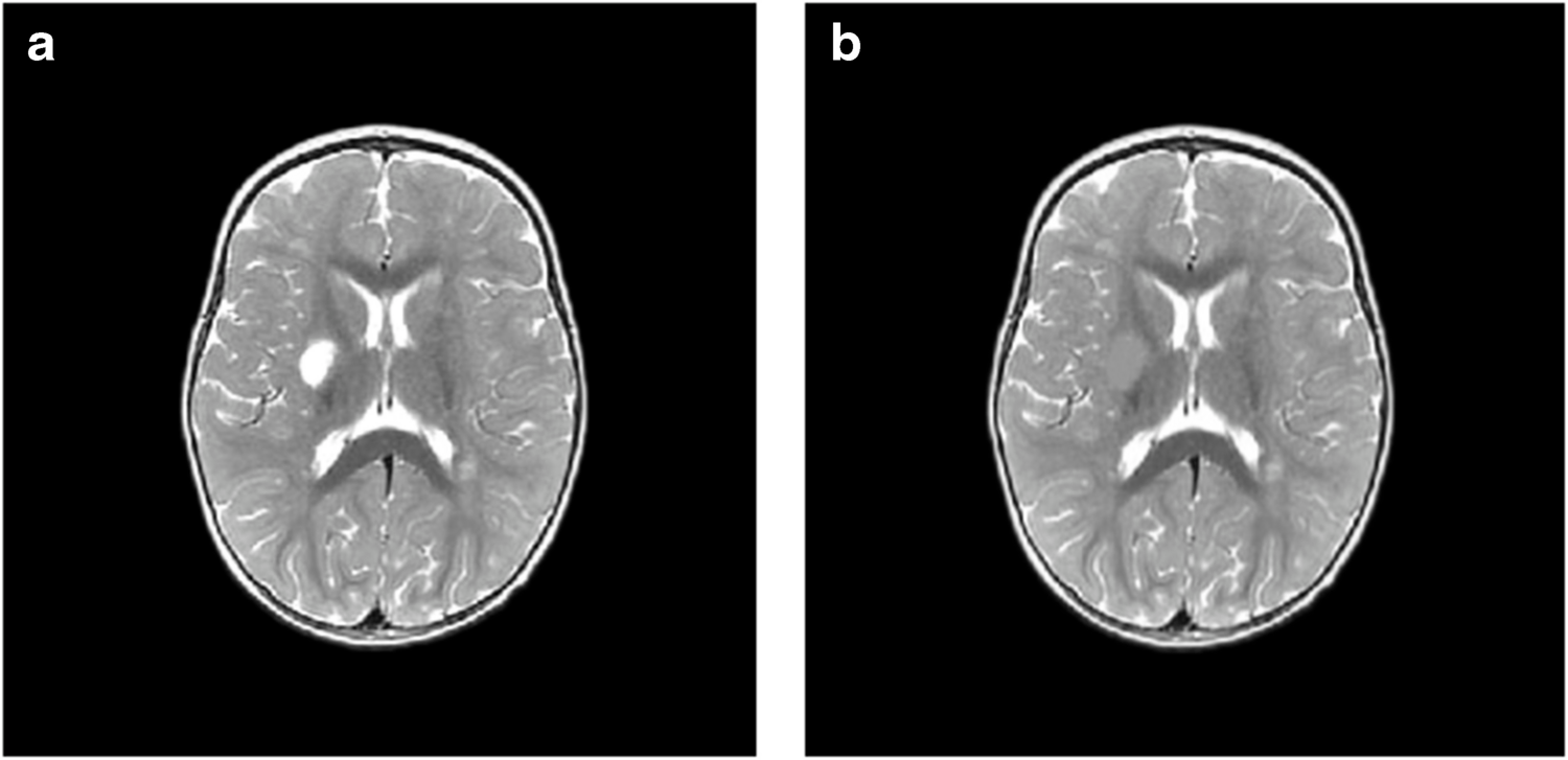
Исследователи проанализировали данные МРТ 35 детей, которые перенесли ишемический инсульт в возрасте до двух лет и лечились в больницах Екатеринбурга, Перми, Челябинска и Тюмени в период с 2015 по 2019 год. Возраст детей на момент инсульта варьировался от четырех дней до одного года 11 месяцев.
Для оценки последствий инсульта исследователи применили современный метод анализа снимков — воксель-базированную морфометрию. Упрощенно эту технологию можно представить так: на каждом МРТ-снимке слой за слоем вручную обводят контуры повреждений области мозга, а специальная компьютерная программа затем вычисляет точный объем этой зоны в кубических миллиметрах. Такая технология позволяет получить наиболее объективные данные по сравнению с традиционным МРТ-отчетом, направленным на определение качественных характеристик (точных границ инсульта, его локализации). Воксель-базированная морфометрия позволяет получить количественные данные: абсолютный и относительный объем поражения от общего объема мозга. Результат применения такого метода — точные числовые значения для последующего статистического анализа и сравнения.
Исследователи поделили малышей на две категории по возрасту: перенесших перинатальный и педиатрический инсульты. Первые пережили нарушение мозгового кровообращения до 28-го дня жизни, вторые — в возрасте от 28 дней до двух лет.
Оказалось, что инсульты у младенцев и детей, достигших месячного возраста, различаются и по масштабам, и по характеру повреждений. Так, у малышей с перинатальным инсультом объем повреждения мозга оказался намного серьезнее, чем у старших: 7,9% против 1,6% от объема мозга. Также у новорожденных чаще встречались нарушения, затрагивающие кору мозга, смешанные и двусторонние инсульты, а у группы детей от 28 дней до двух лет преобладали локальные подкорковые очаги и повреждения только левого полушария.

«Детский мозг очень пластичен, и чем младше ребенок, тем выше пластичность. Поэтому, с одной стороны, более ранний инсульт имеет более обширные поражения, но как это отразится на дальнейшем развитии ребенка, мы пока не знаем. Вовсе необязательно, что большой объем поражений будет связан с неблагоприятным исходом. Бывает так, что зона поражения затрагивает чуть ли не половину мозга, а ребенок впоследствии спокойно учится в школе. А бывает, что поражены всего несколько миллиметров, а ребенок на всю жизнь остается инвалидом», — отмечает Софья Куликова.
Анализ данных также показал, что почти половина инсультов (48,6%) были левосторонними, что согласуется с выводами других исследований. По словам Софьи Куликовой, левосторонние инсульты чаще встречаются и у взрослых. Это связывают с асимметрией сердечно-сосудистой системы: сонные артерии отходят от аорты не симметрично, и возникает вероятность, что тромб образуется в левой стороне мозга, а не в правой. Также, возможно, дело в том, что левая часть мозга в большей степени отвечает за речь, нарушения которой более заметны, чем правосторонние патологии. То есть, возможно, левосторонние инсульты просто чаще диагностируются. С чем такая локализация связана у детей, пока неизвестно.
Второй, менее очевидный вывод касался конкретных зон поражения. Выяснилось, что чаще всего удар у детей приходился на критически важные для развития лобную (68,6% случаев) и теменные (54,3%) доли. А именно эти зоны отвечают за движение, планирование, речь, мышление и восприятие пространства.
Но наиболее уязвимыми оказались зоны, снабжаемые кровью средней мозговой артерией, — 94,3% случаев. Почти у 63% детей была также повреждена внутренняя капсула, что часто ведет к когнитивным нарушениям, таким как невнимательность, апатия, абулия (безволие) и проблемы с памятью. В среднем объем поражения мозга составил примерно 20 тысяч кубических миллиметров — около 3,4% общего объема детского мозга.
На следующем этапе исследований ученые планируют изучить последствия инсульта, произошедшего в разном возрасте, у тех же самых детей. Сегодня многие из них уже учатся в школе, другие остались отстающими в развитии. Исследователи хотят сравнить показатели их когнитивных способностей с локализацией и объемом нарушения мозгового кровообращения, которое они пережили в раннем детстве. Итогом работы ученые видят создание программы прогнозирования и реабилитации после инсульта и для взрослых, и для детей.
Вам также может быть интересно:
Как правильно монетизировать научные разработки
Грамотная коммерциализация научных исследований, предполагающая их трансформацию в реальные разработки и новые продукты и получение дохода от интеллектуальной собственности, способствует трансферу передовых технологий в экономику и государственное управление, стимулирует творческую энергию ученых и укрепляет материальную базу научных лабораторий и университетов. Коммерциализация не ограничивается инженерными и ИТ-направлениями, она может быть результативной для исследований в разных науках, в том числе социальных и гуманитарных. Важно, чтобы университет сохранил роль одного из лидеров в коммерческом использовании научных результатов.
Четвертый фестиваль робототехники состоится в НИУ ВШЭ
С 1 по 3 апреля в кампусе НИУ ВШЭ на Покровке пройдет IV Фестиваль робототехники — одно из ключевых событий факультета компьютерных наук Вышки для всех, кто увлечен робототехникой, программированием и инженерным творчеством. Фестиваль объединит соревнования по робототехнике, дискуссии, образовательные форматы и демонстрацию разработок.
Новая разработка ученых ВШЭ поможет быстрее и дешевле спроектировать надежную электронику
Российские ученые из МИЭМ ВШЭ разработали новый подход к моделированию электротепловых процессов в мощных электронных схемах на печатных платах. Они научились быстро и точно рассчитывать, как нагреваются электронные компоненты во время работы, чтобы заранее предотвращать их перегрев и поломку. Результаты работы опубликованы в журнале Russian Microelectronics.
В ВШЭ создан департамент кибербезопасности
В Московском институте электроники и математики им. А.Н. Тихонова ВШЭ открылось новое подразделение. Среди его задач — объединение образовательных, научных и экспертных ресурсов МИЭМ в области информационной и компьютерной безопасности, расширение портфеля образовательных программ, укрепление партнерства с лидерами индустрии и позиций ВШЭ как ведущего центра компетенций в области кибербезопасности.
Серьезный вызов: студенты Вышки исследуют глобальные технологические тренды и стартапы
В НИУ ВШЭ подвели промежуточные итоги совместного исследовательского проекта с компанией ЭФКО: студенты представили результаты исследований и рассказали о дальнейших планах. Проект ориентирован на вовлечение студентов в прикладные исследования по трем крупным направлениям: анализ глобальных технологических стартапов, изучение культурного кода и созидательного потенциала общества, а также прогнозирование социально-экономического развития России.
В НИУ ВШЭ пройдет II конгресс «Генетика и сердце»
Высшая школа экономики, Национальная исследовательская лига кардиологической генетики (НИЛКГ) и Центральная государственная медицинская академия (ЦГМА) Управления делами Президента РФ организуют II Конгресс с международным участием «Генетика и сердце». Мероприятие состоится 7–8 февраля 2026 года в Центре культур НИУ ВШЭ.
Ученые ВШЭ выяснили, как сила авторитета формирует доверие
Исследователи Института когнитивных нейронаук НИУ ВШЭ выяснили, как мозг реагирует на аудиодипфейки — реалистичные поддельные записи речи, созданные с помощью ИИ. Выяснилось, что люди склонны доверять мнению авторитетного спикера даже в тех случаях, когда новые утверждения противоречат его прежней позиции. Это работает и в ситуациях, когда утверждение не согласуется с собственным мнением слушающего. Исследование опубликовано в журнале NeuroImage.
МИЭМ ВШЭ и Инновационный центр «Альфачип» заключили соглашение о сотрудничестве
Среди основных задач — совместные проекты в области микроэлектроники, участие специалистов компании в сопровождении научно-исследовательской деятельности студентов и аспирантов. Также планируется подготовка совместных научных публикаций, организация производственной практики и стажировок студентов, повышение квалификации специалистов компании.
«Я — профессионал»: ВШЭ — в лидерах по числу студентов в заключительном этапе
С сентября самые талантливые студенты со всей страны боролись за право стать частью вселенной карьерных возможностей «Я — профессионал» и получить доступ к бонусам при поступлении в магистратуру Высшей школы экономики, стажировкам в известных компаниях-партнерах («Яндекс», Сбербанк, ВТБ, РЖД и др.) и денежному вознаграждению до 300 000 рублей. Вышка вошла в число лидеров по количеству студентов, прошедших в заключительный этап олимпиады «Я — профессионал», который состоится с февраля по апрель 2026 года.
Математик из НИУ ВШЭ в Нижнем Новгороде нашел способ решить уравнение, нерешаемое с XIX века
Ученый из НИУ ВШЭ в Нижнем Новгороде и ИППИ РАН Иван Ремизов совершил концептуальный прорыв в теории дифференциальных уравнений. Ему удалось вывести универсальную формулу для решения задач, которые более 190 лет считались нерешаемыми аналитическим путем. Полученный результат радикально меняет картину мира в одной из старейших областей математики, важной для фундаментальной физики и экономики. Результаты работы опубликованы во Владикавказском математическом журнале.


